
症例は犬、8歳6ヶ月齢の女の子です。
昨日から繰り返し吐いているため受診されました。飼い主さんのお話によると、昨日庭の薔薇の実の破片が落ちていたため食べかもしれない、とのことでした。未熟な薔薇の実や種子には中毒成分が含まれています。さらに丸呑みした場合などでは腸に詰まってしまう可能性もあります。
中毒でも、実そのものが詰まった場合でも今回のような繰り返す吐き気の原因となるため、血液検査やX線検査、超音波検査など多角的な検査を実施しました。
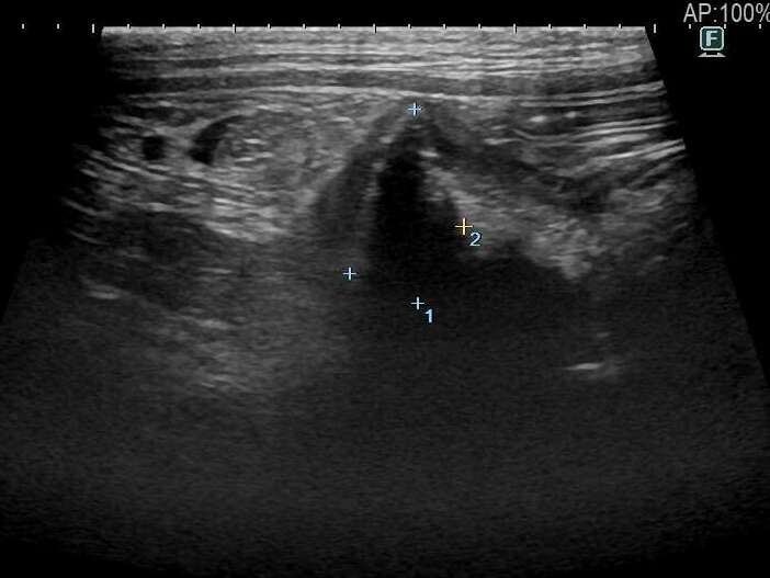
血液検査では正常値が得られましたが、X線検査では異常なガス貯留が認められました。また、腹部超音波検査では消化管に異物を疑うような所見が得られました。

消化管内に異物を疑う所見
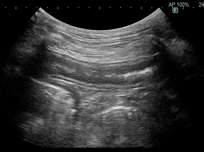
通常消化管内異物による腸の完全閉塞の場合、詰まっている部位から手前の腸は内容物で渋滞し拡張するという特徴的な超音波画像所見が認められます。しかし、本症例では異物は疑われたものの、消化管の拡張所見は乏しく完全閉塞との判断が難しく、手術を行うか悩ましい状況でした。

拡張の乏しい(正常に近い)消化管の様子
現症が中毒性の嘔吐の可能性が否定できないものの、誤食の存在が疑わしいため異物除去を想定した緊急的な試験開腹を提示したところ、ご理解いただき迅速に決断していただきました。
開腹後、消化管全域を精査したところ回腸遠位、盲腸の手前に異物を発見しました。

異物は硬く扁平で一部消化管に穴が開きそうなほど透けている部分もありました。

消化管や血管の損傷に注意ながら異物を摘出しました。

また、中毒のリスクも考慮し胃切開を行い、内容物の除去と胃洗浄を行いました。

摘出した異物は種子や実ではなく、硬く鋭利なプラスチック片でした。扁平な形状のため隙間から消化管内容物が通過できたため、閉塞所見が得られなかったと考えられます。しかし、消化管に穴が開きかねない危険な状況ではありました。術後は幸いなことに合併症や中毒症状もなく順調に回復できました。
飼い主さんに実物を確認していただきましたが、思い当たる節は全くないとのことでした。今回のように異物の誤食がいつの間にか起こっていることは少なくありません。異物を食べてしまった事実や、食べた物、量などがわからないと発見が難しい場合もあります。
普段から注意が必要なことはもちろんですが、周囲の様子などをよく観察し小さな変化を見逃さないことが大切です。



