
1歳9ヶ月齢の男の子のゴールデンハムスターの症例です。
首元にしこりを発見して来院されました。
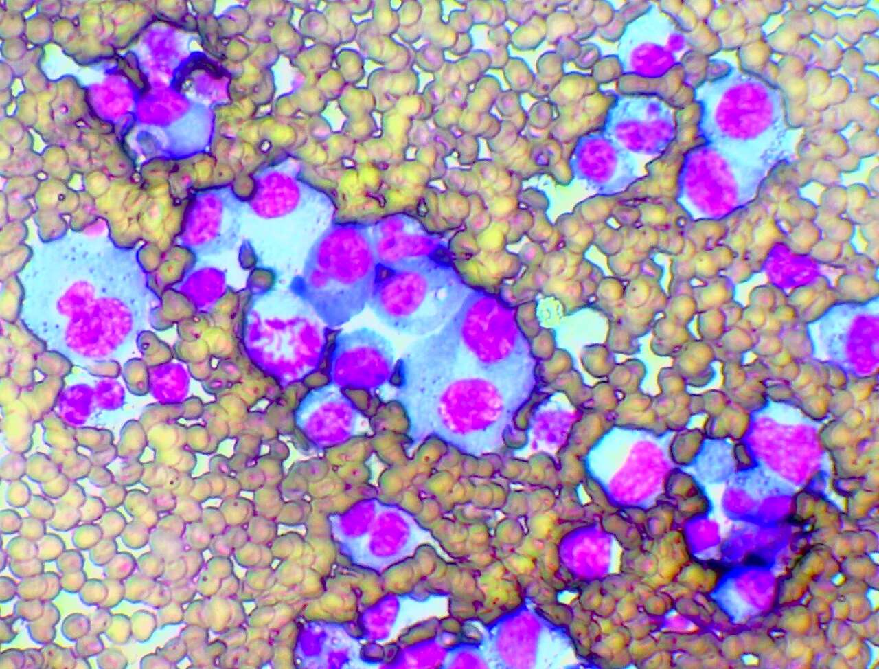
細胞診検査の結果、「髄外性形質細胞腫」と呼ばれる、転移する可能性がある腫瘍が疑われました。

治療の第一選択は外科手術のため、摘出手術を行いました。

電気メスを使用し、少しでも出血量を少なく、短時間で手術を終えました。

摘出した腫瘤の背景のマスは1cm四方です。
約3cm大の大きな腫瘤を摘出しました。

病理組織学的検査結果は、「髄外性形質細胞腫」でした。
完全に取り切れており、術後も再発なく元気に寿命を迎えるまで過ごしてくれました。
高齢のゴールデンハムスターさんの首元には、この「髄外性形質細胞腫」という腫瘍ができることが多く、
そのままにしておくとだんだん大きくなり、周囲にむくみが出たり、他の臓器に転移してしまうこともあります。
早期発見で手術ができれば、その後経過良好に過ごせることもあります。
また、ゴールデンハムスターさん以外の、ジャンガリアンハムスターさんやロボロフスキーハムスターさんに腫瘍ができた場合にも当院では手術や治療のご提案も可能です。
日頃から首元を含めて全身をよく触ってあげていただき、
もし気になる変化があったら早めに当院にご相談ください。




