
4歳、ロップイヤーラビット、男の子の症例です。
食欲の低下を主訴に来院されました。
血液検査上の問題は無し。
レントゲン検査にて胃拡張と消化管ガスの貯留と共に右の中腹部に膨らみが認められました。

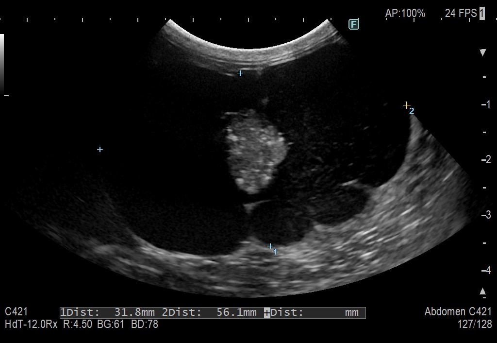
エコー検査にて右の腎臓に50mm大の嚢胞が発見されました。

対症療法にて食欲や一般状態を回復させてから、精査を目的に麻酔下でのCT検査を実施しました。
CT画像でも右腎嚢胞は巨大であり、腎臓の正常な構造は消失していました。
右の腎臓は機能を失っていると判断し、開腹手術にて右腎を摘出しました。

摘出後の右腎がこちら

病理組織検査に供したところ、診断は腎細胞癌でした。
ウサギの腎細胞癌は報告が少なく、切除後の治療や予後に関しては不明な点が多いですが、
術後5か月が経過した現在、本症例は特に大きな問題なく過ごせています。
今後は左だけになってしまった腎機能を保護しつつ、再発や転移の有無を定期的に検査していく予定です。



